有哪些原本打算改造生态环境,却反而损害了生态系统的故事?

有哪些原本打算改造生态环境,却反而损害了生态系统的故事?

剿匪义士高从诲,荆南节度使兼侍中、南平王、检校太师

白头海雕(Haliaeetus leucocephalus)是是美国国鸟,俗称白头鹰,喜欢吃鱼、水鸟等动物,主要分布在美国和加拿大,一般独居,但是过冬时会群居。

每年冬天,会有 1000 只美国北部和加拿大的白头鹰飞到美国东南部的阿肯色州过冬。1994~1995 的冬天,在阿肯色州的德格雷湖,陆续发现了 29 只死亡的白头鹰,其中有 3 只在发现的时候受了伤还没有死,但是之后经抢救无效也在 24 小时内死亡。

还没查清死亡原因,1996~1997 的冬天,德格雷湖以及附近的沃希托湖汉密尔顿湖又有 26 只白头鹰死亡。这些白头鹰运动能力受损,飞行的时候三过巢穴而不入,或者撞到树上、悬崖上,最后瘫痪、死亡。

白头鹰撞悬崖了

要知道包括这些湖泊在内整个阿肯色州每年过冬的白头鹰总共也就大约 1000 只,那这个死亡数据就很恐怖了。单看德格雷湖的话,这两个冬天死亡的白头鹰已经占到过冬的白头鹰总数的 30~65%。而且,这还只是已经观察到的白头鹰死亡数量,算上那些没有发现的白头鹰尸体,这次死亡事件已经非同小可。生物学家迅速开始调查死亡原因。然而,这一调查就是二十多年。

就在生物学家焦头烂额的时候,其他的鸟类也开始出现类似的问题。每年冬季,除了白头鹰之外,还会有 8000 只美洲骨顶(Fulica americana)在德格雷湖过冬。美洲骨顶长得像鸭子,群居,会游泳,也会飞行,主要吃水草、鱼和一些虫子,是白头鹰的猎物之一。

美洲骨顶

1996~1997 的冬天,在德格雷湖调查白头鹰死因的生物学家发现,大约有 5%的美洲骨顶出现了神经系统损伤的症状,有的不愿飞行,有的飞行的时候摇摇晃晃,走路蹒跚,抓到养殖场之后症状并没有减轻。不过暂时还没有在野外发现死亡病例。回看档案发现,1994~1995 的冬天,德格雷湖的美洲骨顶已经有了不愿飞行或飞行不协调的记录。而 1995~1996 的冬天,德格雷湖的美洲骨顶表现正常,这一时期也没有白头鹰异常死亡记录,两者发病时间刚好重合,考虑到美洲骨顶是白头鹰的猎物之一,生物学家怀疑这个病和这种捕食关系有关。

白头鹰捕食美洲骨顶等水鸟

之后,每年冬天还在出现新的病例。1998 年,生物学家经过大量的工作发现,患病的白头鹰和美洲骨顶的共同症状是脑部视顶盖和小脑的髓鞘内水肿,称为海绵状髓鞘病变(spongiform myelinopathy),之后又命名为鸟类空泡状髓鞘病变(avian vacuolar myelinopathy,简称AVM)。这种神经损伤过去没有发现过。很多看起来正常的美洲骨顶解剖后也发现了这种损伤,说明就算没有明显症状,也有可能已经患病

左:正常组织,右:空泡状髓鞘病变组织

当时,阿肯色州附近的北卡罗莱纳州、南卡罗莱纳州、佐治亚州负责保护白头鹰种群的生物学家也赶来支援,一起调查。等这些生物学家回去后,1998~1999 的冬天,他们所在的州也出现了相同症状的水鸟。

1998 年 11 月到 1999 年 2 月,在北卡罗莱纳州中部的伍德湖,绿头鸭(Anas platyrhynchos)、环颈潜鸭(Aythya collaris)、白枕鹊鸭(Bucephala albeola)都出现了 AVM 病例。比如:

  • 1998 年 11 月 24 日,一只成年雄性绿头鸭在岸边背部朝下双脚朝上躺着,发现有人靠近后,它爬起来,飞了一段距离,又背部朝下着地了。
  • 1998 年 12 月 4 日,一只雄性环颈潜鸭在湖里游动,但身体歪向一边,虽然一直划水试图纠正,却始终无法纠正姿势。发现有人靠近后,它笨拙地游了 3 米,却没有起飞。
  • 1998 年 12 月 18 日,一只雄性绿头鸭在岸上挣扎,胸部靠在地上,头颈部姿势正常,腿和脚无法动弹,翅膀稍微能动。人靠近时,它很警觉,但就是动不了。
  • 1999 年 2 月 9 日,处死了一只出现类似症状的白枕鹊鸭
  • 1999 年 2 月 11 日,发现了一只死掉的白枕鹊鸭

这个冬天,伍德湖一带发现的患病死亡的水鸟包括了 6 只绿头鸭、2 只环颈潜鸭、2 只白枕鹊鸭、约 250 只美洲骨顶和几只白头鹰。要知道当时在伍德湖过冬的美洲骨顶总共也就约 1000 只。

南卡罗莱纳州和佐治亚州交界处的瑟蒙德湖,白头鹰、加拿大黑雁(Branta canadensis)、双领鸻(Charadrius vociferus)和美洲雕鸮(Bubo virginianus,又称大雕鸮、大角猫头鹰)先后确诊了 AVM。1998~2004 年瑟蒙德湖发生了 1994 年以来最大规模的白头鹰死亡事件。同期监测发现 17~94%的绿头鸭有 AVM。但是,浣熊、海狸和灰狐这些哺乳动物都没有 AVM。

患 AVM 的美洲雕鸮(大雕鸮、大角猫头鹰

到 2004 年,包括上面几个湖在内,美国东南部十几个湖都发现了 AVM,发病在初冬最多,从 10 月到次年 4 月都有发生。病鸟主要是猛禽和水鸟。患病的鸟共济失调,无法飞行或不愿飞行,步态蹒跚,绕圈游泳。

白头鹰 AVM 病例到 2004 年总共有 90 只,而到 2014 年至少有 170 只。死亡的美洲骨顶已经数以千计。考虑到没有发现的病鸟,AVM 实际发病数量可能更多。

然而,病因却仍然没有搞清楚。

生物学家在调查中发现,病鸟没有发生感染或者炎性损伤。在实验场地中,将绿头鸭与患 AVM 的美洲骨顶一起饲养,没有发现鸟传鸟现象。从发生 AVM 的水域采集淤泥和鸟类尸体进行化学分析,没有发现已知的会导致髓鞘内水肿的化合物,比如异烟肼、六氯酚、溴鼠胺、三乙基氯化锡。会损伤髓鞘的两种植物鳞叠状弯药百合(Stypandra imbricata)和银球拟蜡菊(Heliochrysum argyrosphaerum)并不分布于北美。

两只患 AVM 的美洲骨顶,右边那只飞不起来了,左边那只已经站不起来了

1998 到 2001 年,生物学家放生了很多剪掉翅膀做过标记的美洲骨顶和绿头鸭,观察是否发病。他们发现,放生到发生 AVM 的地区的话,这些水鸟 5 到 7 天后就开始出现神经系统损伤的症状,处死、解剖后在脑部可以发现典型的 AVM 症状。但是,只有 11 月 12 月放生的水鸟会患病,其他季节则不会患病;放生到没有发生过 AVM 的地点也不会患病。

综合上面这些研究成果,生物学家于是有了初步猜想:可能是某种天然的、在特定时间地点才会产生的毒素导致了 AVM。而白头鹰因为吃了患 AVM 的美洲骨顶才患上 AVM。很明显那些神经损伤的美洲骨顶更容易被白头鹰捕获,这增大了白头鹰患病风险。而且白头鹰会食腐,大量死于 AVM 的美洲骨顶尸体也会导致白头鹰摄入那种毒素。也就是说,这种病可能是通过食物链传播的

为了验证这个猜想,生物学家给另一种猛禽红尾鵟(Buteo jamaicensis)喂食美洲骨顶,毕竟白头鹰是美国国鸟数量有限不方便做实验。其中 5 只红尾鵟吃患有 AVM 的美洲骨顶,1 只吃健康的美洲骨顶。29 天后所有红尾鵟看上去都正常,但是处死、解剖、镜检发现,吃了患 AVM 美洲骨顶的红尾鵟出现了 AVM 典型的脑部损伤,而吃健康骨顶的红尾鵟则脑组织正常。这证实了食物链传播的猜想。也就是说,植食和杂食的水鸟先摄入了毒素然后发病,猛禽捕食水鸟导致发病。

红尾鵟

然后生物学家开始研究所有发生过 AVM 的湖,其实都是美国东南部人工挖掘的水库。一些淡水藻类也会产生神经毒素,但是没有发现产生已知神经毒素的藻类在发生 AVM 的水库大规模生长(水华)。不过这些水库普遍长有有大量水草。这些水草都是入侵物种,包括黑藻(轮叶黑藻,Hydrilla verticillata)、水蕴草、狐尾藻。注意这些都是水生的高等植物,只是名字带有“藻”。黑藻从印度和东南亚引入美国,一开始是放在鱼缸中用来净化水体,但一不小心跑到了野外,成了入侵物种,在南部各州的水域泛滥成灾。黑藻等水草的存在会吸引鱼和水鸟,进而又会吸引白头海雕和其他猛禽。

出现 AVM 和黑藻的地区。数字代表发现顺序。1 是德格雷湖,2 是沃希托湖,3 是汉密尔顿湖,4 是瑟蒙德湖,6 是伍德湖,19 是托霍普卡莱加湖

黑藻叶片上会长很多藻类,比如硅藻、蓝藻、绿藻。研究人员在瑟蒙德湖的黑藻叶片朝下的一面发现了很多肉眼可见的黑点,进一步研究后发现是一种未知的蓝藻。黑藻叶片表面超过 90%的地方长了这种蓝藻。

黑藻上长了很多黑色的蓝藻

最关键的来了,这种蓝藻的丰度和 AVM 发病刚好重合,所有发生 AVM 的水库的黑藻上都有它,没有发生过 AVM 的水库的黑藻上则没有发现。而美洲骨顶在过冬时会吃水草,它们会潜水吃黑藻等沉水植物。所以,是不是这种未知蓝藻产生了什么毒素,美洲骨顶吃黑藻的时候把这些蓝藻一起吃了,也就把蓝藻产生的毒素也一起吃了?

AVM 发病区域基本都出现了那种蓝藻(居黑藻杀鹰藻)

在实验场地中,给绿头鸭喂食黑藻,结果发现吃了有那种蓝藻的黑藻之后绿头鸭发生了 AVM,而吃没有蓝藻的黑藻就不会。这证实了上面的猜想,打通了毒素传播链。

有毒的蓝藻(居黑藻杀鹰藻)

为了进一步验证这个猜想,将瑟蒙德湖采集的带蓝藻的黑藻用不同的有机溶剂萃取,然后给绿头鸭吃,最后发现带蓝藻的黑藻的甲醇萃取物可致病,不带蓝藻的则不会。到这里初步确定那种蓝藻就是 AVM 的罪魁祸首,它可以产生一种甲醇可提取的毒素。这种蓝藻是一个全新的物种,属于念珠藻目、软管藻科,命名为居黑藻杀鹰藻。此时已是 2014 年,距离首个病例出现已过去 20 年。

蓝细菌门(Cyanobacteriota)
蓝藻纲(Cyanophyceae)
念珠藻目(Nostocales)
软管藻科(Hapalosiphonaceae)
杀鹰藻属(Aetokthonos)
居黑藻杀鹰藻(Aetokthonos hydrillicola)

就在这段时间,关于疾病影响范围的研究也在继续。

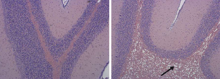
草鱼也出现了类似 AVM 的病理损伤(箭头所指位置)

研究发现,草鱼、锦龟吃了有居黑藻杀鹰藻的黑藻后也出现了类似 AVM 的中枢神经系统损伤。在佛罗里达州中部的托霍普卡莱加湖(Lake Tohopekaliga)也有很多黑藻和居黑藻杀鹰藻,当地有一群濒危的猛禽蜗鸢(螺鸢)(Rostrhamus sociabilis),还有大量入侵物种斑点福寿螺(Pomacea maculata),是螺鸢的主要食物来源。这个湖还没有出现过 AVM,但是实验发现这里的黑藻也有导致 AVM 毒素。生物学家给斑点福寿螺喂食 AVM 水域的黑藻,再把斑点福寿螺喂给来亨鸡,发现万分之三的来亨鸡出现了 AVM 症状,解剖、镜检也发现了 AVM 典型的脑部损伤。这又是一条毒素通过食物链传播的路径,也说明螺鸢实际上也很有可能已经患上了 AVM

螺鸢

鉴定毒素刻不容缓,研究人员采集了有居黑藻杀鹰藻的黑藻(下面直接用蓝藻指代居黑藻杀鹰藻),进行蓝藻的大规模培养和毒素分离。探究蓝藻培养条件很困难,花了两年才产生了足够的蓝藻来进行第一次喂养试验。但是实验结果让人失望,鸡吃了蓝藻之后没有发病。

但是蓝藻产生 AVM 毒素的证据其实已经很明确了,研究人员猜测蓝藻可能只有在特定条件下才会产生毒素,于是对有蓝藻的黑藻叶片进行成像质谱分析,就是将叶片划分成一个个像素,每个像素用基质辅助激光解吸离子化技术(MALDI)进行质谱分析。研究人员发现一种分子式 C17H6Br5N3 的化合物在黑藻叶片的的分布区域与蓝藻的分布区域正好重叠。而实验室培养的蓝藻中没有这个化合物。

上图是黑藻叶片显微照片,红框没有居黑藻杀鹰藻,蓝圈有居黑藻杀鹰藻。下图是对应的 C17H6Br5N3 化合物质谱成像图。质谱信号区域和居黑藻杀鹰藻生长区域对应得很好

这是个新化合物,一个分子有 5 个溴原子,这也解释了为什么实验室培养的蓝藻没毒。因为培养基根本没有溴元素。然后在培养基中加了溴化钾之后果然发现培养的蓝藻产生了这个毒素。这个毒素产量很低,不过培养温度从 28℃降到 21℃、培养转速变高(剪切应力增大)等环境压力可以让产量上升一百倍以上。经过分离纯化之后,一系列光谱技术确定了这个化合物的结构,取名为杀鹰毒素(aetokthonotoxin)。杀鹰毒素的结构主要是两个吲哚环,上面有 5 个溴原子和 1 个氰基。

杀鹰毒素的结构式

研究发现,杀鹰毒素对斑马鱼、水蚤、线虫都有毒性,比如斑马鱼摄入杀鹰毒素后会颤搐、喘气、全身痉挛、失去平衡、成群聚集、胸鳍快速运动、失去逃生反应。

再回过头去看采集的黑藻,AVM 爆发期间采集的有蓝藻的黑藻检测到了杀鹰毒素,没有发生 AVM 的地方的无蓝藻黑藻没有发现杀鹰毒素。两只因 AVM 死亡的美洲骨顶的组织中都检测到了杀鹰毒素。

有蓝藻黑藻的杀鹰毒素浓度随季节变化,11 月份浓度最高。这正好是 AVM 高发的季节,也是水温下降,湖泊水层翻转的时节。这和实验室研究发现的培养温度下降产量上升相符。

到这里,AVM 的起因大致算是搞清楚了,此时已经是 2021 年了。不过,还有一些问题需要搞清楚。

  • 培养基没有添加溴的话蓝藻就不产生杀鹰毒素,可是淡水里溴浓度也很低啊,溴本来就是在海洋中发现的。那蓝藻是从哪里搞来的溴?
  • 这种蓝藻是哪里来的?黑藻入侵北美之前它长在哪里?
  • 这种蓝藻怎么演化出合成杀鹰毒素的能力?产生杀鹰毒素的目的是什么?
  • 杀鹰毒素的作用机理是什么?

第 2、3 个问题可能永远也不会知道了。不仅如此,后续研究反而带来了新的问题。因为这种蓝藻不仅产生杀鹰毒素这一种毒素,还会产生杀鹰抑素(aetokthonostatin)。杀鹰抑素是海兔毒素(dolastatin)的类似物,可以结合微管蛋白,破坏微管动态平衡,从而产生比杀鹰毒素更强的细胞毒性。那么杀鹰抑素和 AVM 的关系又是新的问题。

杀鹰抑素的结构式

第 4 个问题到今年才有初步的答案。杀鹰毒素可以携带氢离子穿过磷脂双分子层,从而破坏线粒体内膜两侧的氢离子浓度差,导致氧化磷酸化受阻,ATP 产生速度下降。ATP 浓度下降会导致很多后续影响,比如线粒体自噬和 Kv2.1 钾离子通道开放。长时间的钾离子通道开放会导致髓鞘内形成大空泡,也就是 AVM 的典型病理表现。不过这些都还有待进一步研究。

杀鹰毒素搬运氢离子,破坏呼吸链

杀鹰毒素为什么可以携带氢离子呢?因为吲哚环的亚氨基受到 3'位氰基吸电子共轭效应的影响,以及 5'位和 7'位的溴原子、2'位的氮原子的吸电子诱导效应的影响,产生了弱酸性。杀鹰毒素的 5 个溴原子又进一步增大了它的脂溶性,使得它跨膜更方便,结果就成了氢离子搬运工。

杀鹰毒素结构式

实际上,有一种杀虫剂溴虫腈(Chlorfenapyr)就是类似的作用机理。溴虫腈进入体内后会变成溴代吡咯腈(Tralopyril),同样是 2 位芳环、3 位氰基外加溴原子和三氟甲基这些吸电子基团的取代,同样是破坏呼吸链的作用机理。

左:杀鹰毒素,右:溴代吡咯腈

关于第 1 个问题,黑藻本身可以富集溴,其溴含量是淤泥的 20 倍、水中的 500~1000 倍。但是淡水中实在没什么溴,再怎么富集又能富集多少呢。答案就是为了对付黑藻用了很多含溴的除草剂

比如 1995 年瑟蒙德湖首次发现了黑藻,覆盖面积 22 公顷。虽然后面两年使用了大量敌草快等除草剂,但到 2000 年 10 月,黑藻反而扩展到了 1580 公顷,达到瑟蒙德湖的 5.5%,2002 年 10 月更是达到 2070 公顷,占 7.2%。1998 年起,敌草快因为效果差还污染环境已经开始禁用,瑟蒙德湖地区只有公共娱乐场所和私人码头还在使用,但后果已经显现了,也就在这一年,瑟蒙德湖开始爆发 AVM。也就是说,含溴的敌草快不仅没有杀灭黑藻,反而被附生在黑藻上的蓝藻利用,产生了杀鹰毒素

敌草快的结构式

不过前面提到过,只有初冬时期长了蓝藻的黑藻会让水鸟患上 AVM,其他季节并不会,这又是怎么回事呢?这可能是因为深秋初冬时黑藻开始枯萎,释放富集的溴,产生一种局部高溴环境,导致蓝藻获得合成杀鹰毒素所需的溴。而且如前所述,温度下降可以导致杀鹰毒素产量提高。

市售的敌草快已经不再含溴,而是氯化物的形式

调查发现,美国东南部的69 个水体的黑藻样本中 31 个有居黑藻杀鹰藻。这些水体包括了大型的供水水库、水力发电站的水库、县级供水水库、郊区娱乐水库、田间池塘。居黑藻杀鹰藻对野生动物和淡水资源的威胁实际上要比已知的更大。由于杀鹰毒素通过食物链转移,很可能存在生物蓄积作用,因此亟需评估杀鹰毒素对哺乳动物以及人类的影响。虽然杀鹰毒素对生态系统的整体影响目前还不完全清楚,但决不能低估其影响,这方面需要加强监管和宣传。

所以,简单来说这个故事是这样的:为了改造鱼缸这个生态环境,引入了黑藻,结果黑藻跑到野外成了入侵物种,破坏了水库的生态环境;为了控制黑藻、保护当地生态环境,使用了含溴除草剂,结果不仅没有用,反而被不知哪里来的一种蓝藻用来合成毒素,导致一大批动物受害。