我和其它所有观点都不一样,我认为大脑当然是可摊平的。
2007 年,《柳叶刀》上的一篇论文,展示了一个非常惊人的案例[1]。
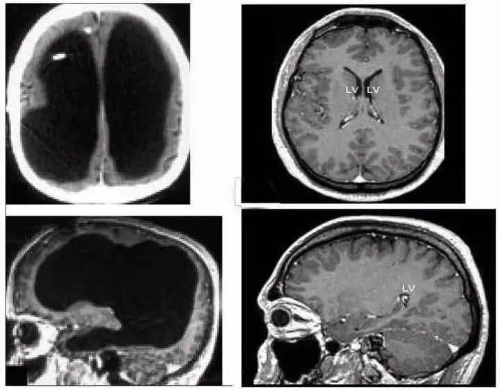
1 位 44 岁的法国男子,大脑被脑脊液压缩得仅有薄薄一层:

这如同纸一样薄的大脑皮层,已经看不出什么沟回。
虽然他的智商测试仅有 75,但依旧还算不上智力障碍(IQ≤70 分为临界值)。
无独有偶,整个医学界,过去多年,发现过不少智力属于正常范畴的成人长期明显脑室扩张(long-standing overt ventriculomegaly in adults,LOVA,在儿童时期发展并在成年期出现症状)。
其中最为著名的,莫过于约翰·洛伯(John Lorber )在 1970–80 年代的一份关于谢菲尔德大学数学系学生的案例。
该学生和上述案例中的男子一样,90%的大脑都被脑积水所占据,大脑被高度压缩成了薄薄一层[2][3]。
他的脑容量被认为仅仅只有 50~150ml,甚至大脑皮层被描述为仅仅只有 1mm。
但他的智商记录却为 126,甚至最终获得了一等荣誉学位(first-class honours)。
虽然该案例,洛伯从未在任何科学期刊上发表过,但后来被大量论文报告所提及(包括其同时代的诸多研究者)。
且后来的诸多案例,侧面证明这的确是有可能的。
一般来说,儿童期间发生脑积水,往往会出现不可逆的大脑发育障碍(语言、认知、运动等)[4]。但对于成年人来说,发生成人长期明显脑室扩张(LOVA),则因为大脑的可塑性和代偿能力,大大脑有可能功能正常[5]。
例如,2000 年的一份报告中[6],20 人里面,11 名患者出现痴呆或智力障碍,这意味着,大约有 9 人智力是正常的。当然,其中 12 名出现步态障碍,8 名出现尿失禁,13 名患者出现视觉障碍。
2022 年,所涉及的 127 名案例[7],则是 52.8%出现步态共济失调、50.4%出现头疼,仅有 33.9%出现认知下降。这意味着,智力正常的为大多数。

总之,LOVA 患者虽然大脑皮层被压缩,但至少大约有一半左右的人,智力是比较正常的。当然,严重脑积水,智力正常的比例也更低。
脑积水对大脑的压缩是随机的,一些大脑结构被压缩后代偿,表现出正常功能。有些大脑结构被压缩后,无法代偿,因而出现了相关的神经障碍。
理论上来说,如果人类未来某一天,对大脑的代偿机制,完全研究清楚后。
是有一定可能性做到,把大脑压缩后,还能基本保持正常功能的。
当然,大量的研究证明,大脑的这种可压缩,无法在幼儿阶段实现。
未成熟的大脑被高度压缩后,破坏是不可逆的,也难以代偿。

重度脑积水的儿童头颅:

LOVA 虽然往往也起源于幼儿,但由于发展缓慢以及治疗等原因,大脑得到成熟发育,虽然最终依旧在成年阶段发展为脑积水。
在漫长的发展过程中,虽然大脑皮层被压缩得越来越薄,但因为长期代偿,依旧可能维持正常功能。

总之,大量案例证明,成年人的大脑的确有被慢性摊平的可能。
而在微观机制上,大脑的可摊平性也能得到支持。
认为大脑无法摊平的,往往把大脑当做了一成不变的结构。
但实际,大脑随时随地都在变化。
以下蓝色标记的是大脑内的神经纤维束:

显然这些纤维的长度、结构、以及排列,与大脑皮层一起,共通维持着大脑整体的沟回结构。
很显然,如果大脑皮层需要舒展开,就需要这些神经纤维延长。
甚至最终像蘑菇一样,形成类似伞盖一样的结构。

的确,猛然地摊平大脑皮层,纤维必然遭到破坏。
但理论上,给与足够的条件,这样的大脑是可能出现的。
首先,大脑具有突触可塑性,在学习的过程中,大脑之间的突触连接,随时随地都在发生变化。

突触是由这样的生长锥[8]所产生的:

当受到正向刺激时,生长锥内部的丝状马达蛋白就会朝着正向刺激方向延伸,最终树突与轴突之间形成突触连接。

除了突触的可塑性外,神经元的轴突也具有拉伸生长(Stretch growth )机制[9][10]。
这种机制,不需要化学信号、物理引导,甚至不需要生长锥,仅仅在机械张力的影响下就能发生。


大脑微观上的延展性,以及可塑性,不仅仅是人类胎儿大脑皮层脑回化的基础(所有哺乳动物的大脑都是从平滑结构分化而来),也是支持部分 LOVA 患者大脑功能正常的微观基础。
同时,它也使得大脑具有理论上的可摊平性。
虽然无损摊平大脑皮层,对于现在的人类来说,是远远做不到的技术,但至少是可以在理论上实现的。
例如,通过合适的机械引导,通过长达数年以上的时间,缓慢摊平大脑皮层。
如果单个个体大脑无伤摊平的程度有所极限,那还可以合理利用演化迭代,经过成千上万代的遴选,最终便可以人工培育出大脑皮层完全舒展开的未来人类。
当未来人类,真的获得摊平的大脑皮层后,会发生什么呢?
显然这样的大脑,即便无损,也可能并不具备生存优势。
我们知道,大脑功能是分区的。

大脑沟回有助于把功能相关的区域拉近,减少轴突长度。
大脑皮层展开后,很多连接会变长,导致信号传输延迟增加、能耗上升、同步性下降,最终使得整个大脑的效率降低。
对于神经振荡、节律、时序有高要求的大脑功能,显然会受到影响。
- 例如,感知整合和语言流畅等等。
感觉皮层之间的信息整合效率下降,也有可能直接影响感觉和知觉效率。
甚至整个人的注意力,也可能变得更加的“散漫”。
人类大脑的智能,和神经元 / 突触密度也有很大关系,大脑皮层摊平可能影响大脑的局部算力,以及代谢。
除此之外,伞盖一样的巨大头颅,对于血液和脑脊液循环,也会带来空前的压力。
比起正常人类,这样的大脑代谢成本巨大,可能更容易因颅压变化 / 供血、供能不足,散热问题,发生癫痫认知、运动 / 感觉等缺陷问题。
当然,这样的大脑也并不是没有理论上的优点。
大脑不同沟回具有形态、结构和功能差异的,完全摊平的大脑,也意味着大脑拓补结构被强行统一,那么可能使得大脑在某些功能方面,具有更高容量或更强并行处理能力的优点。
当然,相对比起整体的缺点,这些优点,可能无法带来整体上的优势。
从某种意义上来说,也正是因为完全摊平的大脑皮层并不具备颠覆性的生存优势,所以大脑才在多重演化压力下(皮层面积增长、颅腔限制、机械张力、区域生长差异、距离能耗等等),发展成了如今的形状。